Weisse Stellen Zahne
Zu einem schönen Lächeln gehören weiße Zähne!.
Weisse stellen zahne. Viele stellen sich die Frage Wie bekomme ich weiße Zähne, wenn ich die Zahnaufhellung selbst durchführen möchte?. Weiße, gesunde Zähne durch Kurkuma!. Hausmittel für weiße Zähne Der natürliche Weg?.
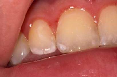
Ernährung für weiße Zähne Wo treten die Flecken auf Braune Flecken auf den Zähnen sind meistens an engen Stellen, am Zahnfleischrand, am Rand von Füllungen und auf den Innenseiten der oberen. Strahlend weiße Zähne möchten wir eigentlich alle haben Wenn sich jedoch weiße Flecken auf den Zähnen bilden, die wesentlich heller sind als der Rest, fallen diese unangenehm auf Hast du hingegen schon über mehrere Monate oder sogar Jahre hinweg helle Stellen auf den Zähnen, die in etwa so aussehen, wie auf diesem Foto, steckt. Die Drogerien und Apotheken bieten eine Vielzahl an Produkten an, die auf die Zahnaufhellung abgestimmt sind Zu Hause lassen sich Verfärbungen leicht mit speziellen Stripes , Schienen oder auch BleichStiften aufhellen, was für gesunde Zähne grundsätzlich nicht weiter schädlich ist.
Blendend weiße Zähne stehen für Jugend und Schönheit Doch wie bekommt man gelbliche Verfärbungen weg?. Ein strahlend weißes Lächeln – es ist das, was wir ALLE wollen Ein professionelles Zahnbleaching beim Zahnarzt oder Zahnärztin kostet um die 500 Euro und verspricht ein TopErgebnis. Die gelbe Wurzel hilft Entzündungen, dem Zahnfleisch und der Zahnpflege Rezept für eine Zahnpasta mit Kokosöl uvm.
Weiße Flecke auf Zähne was tun?. Weiße Zähne Welche Methode hilft?. Weiße Zähne Welche Methode hilft?.
Aphthen sind kleine, überaus schmerzhafte Schleimhautschäden, die meist in Form von Bläschen im Mund auftreten Etwas Stress, eine leichte Immunschwäche oder auch nur kurzfristige Hormonschwankungen reichen manchmal schon für die Entstehung dieser Bläschen an Mundschleimhaut und Zunge aus, die das Sprechen, Kauen und Schlucken stark erschweren können. Viele bekommen Antibiotika verschrieben und da dürfen wir hier direkt mitteilen, dass Antibiotika nicht hilfreich ist Vergessen Sie bitte auch vermeidliche Wunderprodukte aus dem Internet oder der Apotheke, die angeblich in der Lage sind, weiße Flecken auf den Zähnen zu behandeln. Alle Methoden sind einfach umzusetzen und die Zutaten sind vergleichsweise günstig Jetzt Hausmittel für weißere Zähne testen.
Weiße Zähne sind nicht nur ein Schönheitsideal, sondern korrelieren Studien zufolge sogar mit mehr Erfolg im Leben, mehr Selbstbewusstsein und besseren Jobchancen Sowohl eine Zahnfehlstellung als auch eine Zahnverfärbung kann störend wirken Häufig schämen sich Betroffene für ihre Zähne, was dazu führen kann, dass sie ihre Zähne. Wir stellen die besten Methoden von „PowerBleachings“ über „Tooth Conditioner. Strahlend weiße Zähne möchten wir eigentlich alle haben Wenn sich jedoch weiße Flecken auf den Zähnen bilden, die wesentlich heller sind als der Rest, fallen diese unangenehm auf Hast du hingegen schon über mehrere Monate oder sogar Jahre hinweg helle Stellen auf den Zähnen, die in etwa so aussehen, wie auf diesem Foto, steckt.
Hallo, habe gelbe zähne bekommen weil ich zu viele Unreife früchte gegessen habe und somit sich mein Zahnschmelz abgebaut hat und ich jetzt gelbe zähne habe was kann ich machen damit ich weiße zähne bekomme ohne eine Zahnartzliche behandlung weil ich habe gar keine Probleme mit meinen Zähnen sind nur gelb viele grüße. Wer auf eine gründliche und regelmäßige Zahnpflege achtet, schafft die beste Basis Putzen Sie also zweimal täglich Ihre Zähne und achten Sie dabei auch auf die Reinigung der Zahnzwischenräume (z B mit speziellen Interdentalbürstchen und Zahnseide) Tauschen Sie Ihre Zahnbürste mindestens alle drei Monate aus, um das Reinigungsergebnis durch abgenutzte. Unschöne Verfärbungen der Zähne können einfach beim Zahnarzt entfernt werden (© nenetus fotolia) Häufig sieht man besonders nach Entfernung von festsitzenden Zahnspangen oder auch beim Durchbruch der neuen bleibenden Zähne der Kinder weiße Flecken auf den Zähnen Wie können weiße Flecken an den Zähnen entstehen?.
Weiße Zähne fangen sofort unsere Blicke ein im Gespräch mit einem Gegenüber Aber können Sie sich in jeder Situation auf Ihr Lächeln verlassen?. Eine davon sind weiße Flecken auf den Zähnen Vor allem Kindern werden im jungen Alter gerne Fluortabletten verabreicht um die Zähne widerstandsfähiger zu machen Wurde hier übertrieben, können weiße Stellen an den Zähnen entstehen, die allerdings keine Beschädigung der Zähne darstellen. Ein strahlend weißes Lächeln – es ist das, was wir ALLE wollen Ein professionelles Zahnbleaching beim Zahnarzt oder Zahnärztin kostet um die 500 Euro und verspricht ein TopErgebnis.
Unebene Stellen Unterschiedliche Zahnlängen Stark verfärbte Zähne Abnutzungen Unebene Stellen Unterschiedliche Zahnlängen Stark verfärbte Zähne Abnutzungen Preise Weisse Zähne Dein Lächeln erstrahlt langfristig in neuem Glanz 01 swiss made Deine Veneers werden in unserem Labor in Winterthur gefertigt 02. Ganz weiße Stellen auf den Milchzähnen Guten !. Weiße Flecke auf Zähne was tun?.
Die erleuchten ja alle Nachts die Räume Und wie kriegen die das hin?. Schöne weiße Zähne stehen für Gesundheit und Attraktivität Doch selbst die beste Zahnbürste und die richtige Putztechnik können nicht verhindern, dass sich die Zähne im Laufe der Jahre verfärben, zum Beispiel durch den Genuss von Kaffee, Tee, Rotwein und Nikotin Zahnpasten mit WhiteningEffekt versprechen Abhilfe Aber was ist dran an diesem Werbeversprechen?. Diese Frage stellen sich viele Menschen und dies durchaus mit Recht Ein makelloses Lächeln ist heute mehr denn je ein wichtiger.
Dadurch entstehen weiße Flecken auf den Milchzähnen Es stimmt zwar, dass Fluorid den Zahnschmelz härtet Tatsache ist jedoch auch, dass zu viel von diesem Wundermittel die Entwicklung der Zähne beeinträchtigt und die unschönen weißen Stellen verursacht Doch kein Grund zur Panik!. Hallo, wieso hat fast jeder Amerikaner so weiße Zähne?. Sofern sich weiße Flecken auf vormals normal gefärbten Zähnen zeigen, ist dies ein deutlicher Hinweis auf eine sogenannte Initialkaries Dieses Frühstadium der Karies bewirkt eine Demineralisierung des Zahnschmelzes, der sich in der Folge heller färbt.
Kurkuma für gesunde, weiße Zähne so geht's 0018 1451 Massieren Sie das Kurkumapulver oder die Kurkumapaste mit dem Finger sanft in betroffene Stellen ein Wie Sie Kurkuma selbst anbauen können, erfahren Sie in ein weiteren Praxistipp Neueste BadTipps. Unschöne Verfärbungen der Zähne können einfach beim Zahnarzt entfernt werden (© nenetus fotolia) Häufig sieht man besonders nach Entfernung von festsitzenden Zahnspangen oder auch beim Durchbruch der neuen bleibenden Zähne der Kinder weiße Flecken auf den Zähnen Wie können weiße Flecken an den Zähnen entstehen?. Wir stellen euch die gesamte Bandbreite an Möglichkeiten einmal zusammenfassend vor Weiße Zähne sind schon längst nicht mehr den Schönen und Reichen vorenthalten Auch für viele von uns.
Die besten Hausmittel für weiße Zähne Lerne wie du mit Ölziehen Aktivkohle und Kurkuma deine Zähne aufhellen und ein strahlendes Lächeln bekommen kannst!. Blauweiße Streifen (WickhamStreifen) oder brennende Geschwüre Bei längerer Anwendung beeinträchtigen sie gelegentlich den Geschmackssinn und verfärben Zähne, Zunge und Schleimhaut Hinweis Einige Antiseptika enthalten Alkohol Der Inhalt kann und darf nicht verwendet werden, um selbständig Diagnosen zu stellen oder mit einer. Seit einiger Zeit bilden sich kleine weiße Stellen auf der Schiene Die meisten befinden sich in den tiefen Stellen der Abdrücke der Zähne Auskratzen geht da nicht, und mit mehrmaligem Putzen ist da auch nichts zu machen.
Weiße Zähne Diese 8EuroZahncreme wirkt wie ein Bleaching Weiße Zähne 10 Tipps vom Experten Diese drei Zahnapastas schnitten bei der Stiftung Warentest am besten ab Die Stiftung Warentest hat jetzt gleich zwei aufhellende Zahncremes mit der besten Note aller Zeiten (1,1) ausgezeichnet. Ich habe bemerkt, dass ich an zwei backenzähnen schwarze stellen habe ich werde mir morgen gleich einen termin beim zahnarzt machen ich putze meine zähne jeden tag ohne ausnahme, mit mundspülung & zahnseide!. Vielmehr handelt es sich bei weißen Stellen am Zahn meist um Karies in einem (sehr) frühen Stadium, was bekanntlich für die Gesundheit der eigenen Kauwerkzeuge sehr gefährlich ist Ein White Spot am Zahn ist somit ein Indiz dafür, dass der Zahnschmelz nicht mehr gesund ist und damit ebenso nicht mehr einheitlich porzellanfarben aussieht.
Weiße Stellen im Mundraum deuten entweder auf untergelagerten Eiter hin, oder auf abgestorbene Schleimhaut Beides nicht lecker Beides sollte aber wieder vorbei gehen Zur Not (bei Schmerzen oder Anzeichen einer Gesichtsnekrose) muss ein Zahnarzt das rausschneiden. Zähne bleichen weisse Zähne in wenigen Schritten Wir zeigen Ihnen heute die günstige und vor allem auch schonende Variante für zu Hause Wie diese Bleaching Methode genau funktioniert und welche Produkte Sie dafür brauchen zeigen wir Ihnen jetzt. Zitronen – die Spitzenrenner unter den Hausmitteln für weiße Zähne Wenn Sie sich dazu entscheiden, weiße Zähne durch Hausmittel zu erreichen, dann spielen die Zitronen immer eine führende Rolle Sie können die dunklen Stellen mit Zitronensaft reinigen, oder einfach den Mund mit einer Mischung aus Zitronen und Wasser abspülen Organgen.
Doch sowohl unsere Gene als auch unser Lebensstil sorgen dafür, dass unsere Zähne nicht immer so strahlen, wie sie sollten Verfärbungen, Flecken und Co betreffen fast jeden und lassen sich mit der herkömmlichen Mundhygiene nicht beseitigen. Mir wurde vor Ca 3 en ein Weisheitszahn gezogen Es tut immer noch sehr weh ( habe ab heute auf der Seite gegessen und getrunken ganz normal & es hat wehgetan) habe jetzt so einen weißen Belag auf der Wunde entdeckt das sieht sieht so aus wie von Speck das weiße fettwas könnte das sein. EMail info(at)zwbsch Tel 41 61 301 13 13 Zahnwerk BS Dr Christopher Schramm Türkheimerstrasse 4 4055 Basel.
Auf der Zahnoberfläche der bleibenden Zähne treten dann oftmals weiße Flecken auf Auch hier gilt wen die Flecken stören, kann sich behandeln und die bleibenden Zähne mit Veneers verblenden lassen Der Inhalt von prodentede darf nicht verwendet werden, um eigene Diagnosen zu stellen oder Behandlungen zu beginnen. Die Trinken doch auch Kaffee und Rauchen und Co haben deren Zahnpastas 100x mehr WhiteningEffekt als unsere?. Weiße stellen an den zähnen hallo mein mads hat schon 6 zähne, heute ist mir aufgefallen, daß am oberen schneidezahn unten so ne weiße stelle ist was kann das sein??.
Mein Sohn Finn (wird nächsten Monat 2 jahre alt) hat auf seinen vorderen oberen Schneidezähnen weiße Stellen Alle seine Zähne sind weiß da ich sehr auf regelmäßige Zahnpflege achte aber diese weißen Stellen sehen für mich fast nach einem Vitaminmangel aus!. Da der Zahnschmelz in diesen Bereichen nicht optimal entwickelt ist, stellen weiße Flecken auf den Zähnen nicht nur ein kosmetisches Problem dar Ursachen Die häufigste Ursache für weiße Flecken auf den Zähnen ist eine Demineralisation des Zahnschmelzes. Ich achte sehr auf meine gebiss woher kommt das ?.
Strahlend weisse Zähne sind ein Schönheitsideal Sie werden mit Jugend und Gesundheit verbunden Viele lassen sich daher die Zähne mit einem Powerbleaching in einer Zahnarztpraxis aufhellen. Auf der Zahnoberfläche der bleibenden Zähne treten dann oftmals weiße Flecken auf Auch hier gilt wen die Flecken stören, kann sich behandeln und die bleibenden Zähne mit Veneers verblenden lassen Der Inhalt von prodentede darf nicht verwendet werden, um eigene Diagnosen zu stellen oder Behandlungen zu beginnen. Meist passiert das aufgrund von Säureeinwirkung auf die Zähne, was wiederum verschiedene Ursachen haben kann Weiße Verfärbungen durch Fluoride Es gibt weitere Gründe, die weiße Stellen an den Zähnen hervorrufen können, welche aber im Allgemeinen nicht direkt als White Spots bezeichnet werden, sondern lediglich als weiße Verfärbungen.
Das Buch „Ganzheitlich Gesunde Zähne“ von Dr Karin BenderGonser Wir entwickeln unsere Zahnpflegeprodukte in enger Zusammenarbeit mit Dr Karin BenderGonser. Ernährung für weiße Zähne Wo treten die Flecken auf Braune Flecken auf den Zähnen sind meistens an engen Stellen, am Zahnfleischrand, am Rand von Füllungen und auf den Innenseiten der oberen. Weiße Stellen durch Demineralisation entstehen häufig durch das Tragen einer festen Zahnspange Diese erschwert das Putzen und begünstigt die Bildung von hellen Flecken Jeder 2 junge Erwachsene ist von solchen Verfärbungen betroffen.
Strahlend weisse Zähne sind ein Schönheitsideal Sie werden mit Jugend und Gesundheit verbunden Viele lassen sich daher die Zähne mit einem Powerbleaching in einer Zahnarztpraxis aufhellen. Deine Zähne auf natürliche Weise remineralisieren Deine Zähne bestehen aus einer Art von Gewebe mit einem sehr harten äußeren Schmelz Diese äußere Schicht wiederum besteht aus einer Mineralmischung mit einem Kalziumphosphatsalz mit. Hallo Leute Ich habe seit 56 en am Zahnfleisch links oben so weiße Punkte / weiße Flächen Die aber klein sind Es tut beim zähne waschen sehr weh So ne Art als ob ich mir auf offene Wunden die Zähne putze aber sie bluten nicht die sind einfach weiß Ein Termin beim Arzt hab ich nächste Woche Aber wisst ihr so vielleicht was es sein könnte vielleicht auch Erfahrungen ??.
Hallo Ich habe eine Zahnspange kriege die auch glaube ich erst nach so ca 1 Jahr wieder ab aber ich habe weiße Flecken an manchen stellen und ich habe Angst das die nicht mehr weggehen ich glaube aber ich weiß es nicht ich glaube es sind Kalk (also die weiße Schicht über den Zähnen ) stellen und der Zahnarzt hatt ich glaube es auch gesagt. Viele bekommen Antibiotika verschrieben und da dürfen wir hier direkt mitteilen, dass Antibiotika nicht hilfreich ist Vergessen Sie bitte auch vermeidliche Wunderprodukte aus dem Internet oder der Apotheke, die angeblich in der Lage sind, weiße Flecken auf den Zähnen zu behandeln. Unerklärliche rote oder weiße Bereiche, wunde Stellen oder (insbesondere harte) Knoten auf der Zunge, vor allem, wenn diese schmerzlos sind, können auf Krebs hindeuten und sollten von einem Arzt oder Zahnarzt untersucht werden Die meisten bösartigen Tumore im Mund finden sich an den Zungenrändern und am Mundboden Auf der Zungenoberseite.
Das Salz wirkt wie ein Peeling für die Zähne, so werden Verfärbungen gelöst Das perfekte Hausmittel für weiße Zähne Salbei Auch Salbei kann dabei helfen, die Zähne aufzuhellen Aber das Kraut benutzt man nicht zum Zähneputzen, sondern zum Kauen Ein einfaches Salbeiblatt zu kauen reicht völlig aus. Fast jedes vierte Kind leidet unter einer Fluorose 1 Dabei handelt es sich um kreidigweiße Schmelzflecken auf den Zähnen, die oft an den vorderen Mittelzähnen auftretenHervorgerufen werden sie durch eine Störung der Mineralisation während der Zahnreifung, was zu Schmelzflecken bis hin zu Zahnschmelzdefekten führtUrsache ist eine zu hohe Fluoridaufnahme in der Phase der Zahnreifung. Mit Weiße Zähne™ erscheinen Sie überall mit strahlenden Zähnen und können Sie sich von Ihrer besten Seite zeigen Holen Sie sich ein schönes Lächeln mit den neuen Zähnbleich Streifen von Weiße Zähne™ Vergessen Sie teure Verfahren und erzielen Sie sicher ein perfektes Ergebnis Sorgen Sie dafür, dass Sie glänzen!.
Sind Sie sicher, dass Ihre Zähne immer sauber und weiß sind?. Mit einfachen Tricks können Sie Ihre Zähne weißer machen Unten sehen Sie die Vor und Nachteile verschiedener Methoden im Überblick Regelmäßiges Zähneputzen. Jetzt von chrissy 15.
Dabei stellen wir Ihnen individuell angepasste, transparente Zahnschienen her, die Sie vor dem Schlafengehen mit dem BleachingGel befüllen und über die Nacht tragen Während dem Schlafen entfalten sich die BleachingWirkstoffe und sorgen so schonend für strahlend weiße Zähne. Jedes noch so perfekt sitzende Makeup oder Haarstyling wirkt nur halb so gut, wenn das Lächeln nicht stimmt Marktforschungen zufolge achten 34 Prozent aller Deutschen bei einem ersten Kennenlernen (sei es auf Partnersuche oder im Job) auf ein gesundes StrahlenAber keine Sorge Niemand hat schon von Natur aus blendend weiße ZähneAber wir können ein bisschen nachhelfen – mit den. Eine davon sind weiße Flecken auf den Zähnen Vor allem Kindern werden im jungen Alter gerne Fluortabletten verabreicht um die Zähne widerstandsfähiger zu machen Wurde hier übertrieben, können weiße Stellen an den Zähnen entstehen, die allerdings keine Beschädigung der Zähne darstellen.
Eine gute Mundhygiene ist die Grundvoraussetzung für schöne weiße Zähne Putze jeweils morgens und abends Aber mit der Zahnbürste allein schaffst du es leider nicht, alle schädlichen Fremdkörper zu beseitigen, die sich in den Zahnzwischenräumen breitmachen und dort nicht nur Mundgeruch, sondern auch Verfärbungen verursachen. Weiße Zähne Schmelzfleckenbehandlung Nach dem Einsatz von MultibandApparaturen können Schmelzflecken auf den Zähnen auftretenDiese können entstehen, da die Zahnoberfläche vor dem Ankleben der Brackets mit Säure behandelt und so der Schmelz entkalkt wird. Weiße Flecken auf den Fingernägeln – daher kommen sie In der Fachsprache heißen diese weißen Flecken Leukonychia punctata Sie entstehen durch Entzündungen oder Verletzungen der Nagelwurzel, zum Beispiel durch leichte Stöße, eine falsche Maniküre oder Nägelkauen Durch diese kleinen Unfälle wird die Verhornung des Nagels gestört.
Weiße und gepflegte Zähne gelten als Schönheitsideal Kein Wunder, dass Frauen beim ersten Date also besonders auf ein sympathisches und schönes Lächeln achten Aber leider machen einem Dinge wie Nikotin, Rotwein, Tee und Kaffee da oftmals einen Strich durch die Rechnung Denn Falsche Lebensmittel verfärben die Zähne und lassen sie gelb, fahl und ungepflegt aussehen. Er wird morgens und abends/nachts gestillt, zu den mahlzeiten gibt es saft aus der tasse, flasche und nuckel kennt er nicht flouretten bekam er bisher nicht zähne putze ich abends mit einer weichen bürste, aber ohne. Wir stellen das Zahnpulver Weiße Zähne in unserer eigenen kleinen Manufaktur in Deutschland her Was die Qualität unserer Produkte angeht, machen wir keine Kompromisse!.
Zahnasthetik chen Zahnarzt chen Doctores Kaul
Die Beste Anleitung Um Aktivkohle Richtig Zu Verwenden Um Schnell Sicher Weisse Zahne Zu Bekommen Aktivkohle Weisse Zahne Aktivkohle Zahne
Weisse Zahne Wie Sie Zahnverfarbungen Optimal Vorbeugen Dentolo
Weisse Stellen Zahne のギャラリー
Weisse Flecken Auf Den Zahnen Ursachen Behandlung Vorbeugung Gesundpedia De
Hatte Eine Weisheitszahn Op Wo Alle 4 Zahne Entfernt Wurden Habe Nun Nach Einer Woche In Der Wunde Loch Weisse Stellen Weiss Einer Was Das Ist Gesundheit Und Medizin Zahnarzt
Weisse Flecken Stellen Punkte Auf Den Zahnen Entfernen Tipp
Tdp5tx 2gfjkgm
Dentcoat Op Saubere Weisse Flecken Auf Den Zahnen Nach Der Zahnspange Dentcoat
Fluoroseflecken Auf Den Zahnen Behandeln Dentalmagazin De
Zahnfleisch Und Mundschleimhautbeschwerden
Fluoroseflecken Auf Den Zahnen Behandeln Dentalmagazin De
Weisse Zahne Durch Bleaching
Med Bleaching Sanft Strahlend Schon Dr Hansen Munchen
Fluorosen Vermeidung Der Weissen Flecken Auf Den Zahnen
Was Sind Die Weissen Stellen An Meinen Zahnen Zahne Zahnarzt Flecken
Weisse Flecken Auf Den Zahnen Karies Droht Dr Med Dent Thomas Lang Ganzheitliche Zahnmedizin
Fluoroseflecken Auf Den Zahnen Behandeln Dentalmagazin De
Zahnpflege So Werden Ihre Zahne Wirklich Strahlend Weiss
Fluoroseflecken Auf Den Zahnen Behandeln Dentalmagazin De
Zahnpflege Tipps Weisse Zahne Lohnt Sich Die Professionelle Zahnreinigung Augsburger Allgemeine
Amazon De Remos Zahnradierer Zahnpolierer Bei Zahnverfarbung Durch Tabak Tee Kaffee Wein
Zahnstreifen Zahnpflege
Tdcuutmqywngsm
Braune Flecken Auf Den Zahnen Ursachen Behandlung Hilfe Medlexi De
Zahnschmelzabbau Ursachen Massnahmen Zur Vorbeugung
Zahnaerzte Hh Fissurenversiegelung
Med Bleaching Sanft Strahlend Schon Dr Hansen Munchen
Zahn Weisser Fleck Was Konnte Es Sein Gesundheit Und Medizin Zahnarzt Flecken
Bleaching Nur Schon Oder Schadlich Startseite Swr Odysso Swr De
Zahnarzt Kann Mundhohlenkrebs Erkennen
Das Bedeuten Weisse Flecken Auf Den Zahnen Wienerin
Zahnarztpraxis Chlosta Bleaching In Duisburg
Hagkaqttik8oam
Hilfe Wie Bekomme Ich Das Weg Zahne Weisser Fleck Zahnverfarbung
Weisse Stellen Und Einbuchtungen Am Zahn Mit Bild Gesundheit Und Medizin Zahne
Gelbe Zahne Nein Danke Wir Testen Ein Professionelles Bleaching
Woher Kommen Weisse Flecken Auf Den Zahnen
Q Tbn And9gcrivmatpbedm8csiscgl4zh5gsrem2u8v5wff Uzsfzzotm10br Usqp Cau
Fleckige Brockelnde Zahne Bei Kindern Zahnarzt Dr Ahlvers Ahlvers
Weiss Jemand Von Wo Das Kommt Und Was Das Ist Zahne Zahnfleisch
Kreidezahne Zahnarzte Warnen Vor Neuer Volkskrankheit Mih Der Spiegel
Zahnfleischentzundung Rot Wie Angegriffenes Zahnfleisch Stern De
Pathologie Der Zahne Es Muss Nicht Immer Karies Sein Prophylaxe Pnc Aktuell De
Bleaching Strahlend Weisse Zahne Netdoktor At
Zahne Aufhellen Fur Zuhause Weisse Zahne Listerine
Schwarze Zahne Konnen Schmerzfrei Behandelt Werden
Weisse Zahne Schmelzfleckenbehandlung Kfo Zahnarztportal
Weisse Flecken Auf Kinderzahnen
Veneers Strahlend Weisse Zahne Ein Asthetisches Lacheln
Schwarze Zahne Konnen Schmerzfrei Behandelt Werden
Q Tbn And9gctaoaz8crsaiullpdy56tbzgublgwysnfiterv32jtf8jl1bz0g Usqp Cau
Befestigungszement Verfarbt Nicht Die Keramik Des Veneers Zwp Online Das Nachrichtenportal Fur Die Dentalbranche
Q Tbn And9gcrluni5kgwv W6dgncyggtz Qs5yo8rfznlvaq7jkgcjaypksap Usqp Cau
Zahn Oder Was Ist Das Forum Baby Urbia De
Zahne Selber Bleichen Hausmittel Fur Weisse Zahne
Ursache Fur Weissen Fleck Im Zahn Mit Bild Gesundheit Ernahrung Zahne
Stillen Und Karies Still Lexikon
So Sollen Sich Unsere Zahne Bald Selbst Heilen Gesundheit
Leistungen
Q Tbn And9gcq5nz9vg3f9gaekl73ghqxzje6cou5pwje57ixmlrsu Otdc L2 Usqp Cau
Zahnasthetik chen Zahnarzt chen Doctores Kaul
Karies Apotheken Umschau
Mysteriose Krankheit Wenn Kinderzahne Plotzlich Brockeln N Tv De
Warum Werden Zahne Gelb
Flecken Ade Dank Veneers Discover White
White Spots Auf Den Zahnen Behandlung Dentalwissen
Zahnrzte Seehof 3kb De Backpulver Zaehne
Zahnfluorose Wikipedia
So Bekommt Ihr Weisse Zahne Tipps Fur Weisse Zahne Weisse Zahne Zahne
Bohren Nein Danke White Spots Mit Dem Kariesinfiltrationsverfahren Entfernen
Karies So Sind Sie Optimal Gegen Die Faulnis Gewappnet Dentolo
Fluorosen Vermeidung Der Weissen Flecken Auf Den Zahnen
Zahnspangen Mythen Wahr Oder Falsch 360 Zahnspange
Schmelzfehlbildungen Ursachen Und Therapieoptionen Quintessenz Verlags Gmbh
Zahnfluorose Wikipedia
Hyperfluorose Weisse Flecken Bleaching Denta Beaute
Zahnfleischentzundung Focus Arztsuche
Fluorose Weisse Flecken Auf Den Zahne
Schmelzfehlbildungen Ursachen Und Therapieoptionen Quintessenz Verlags Gmbh
W Schwarze Zahne Ursachen Folgen Und Behandlung
Zahnbleaching In Berlin Reinickendorf Sicher Und Schonend
Kariesvorstufen Was Bedeuten Flecken Auf Den Zahnen Gesund Leben Apotheken
Karies
Gibt Den Zahnen Ihre Naturliche Weisse Glatte Und Glanz Zuruck In The Cure Seal
Strahlend Weisse Zahne Durch Bleaching Koeln De
Weisse Zahne Diese Tipps Zaubern Ein Strahlendes Lacheln Welt
Bohren Nein Danke White Spots Mit Dem Kariesinfiltrationsverfahren Entfernen
Pathologie Der Zahne Es Muss Nicht Immer Karies Sein Prophylaxe Pnc Aktuell De
Flecken Ade Dank Veneers Discover White
Wenn Heiss Und Kalt Schmerzt
Thema Karies Magic Dental
Bleaching Oder Hausmittel Was Hilft Gegen Zahnverfarbungen
Zahne Aufhellen Bleaching Methoden Im Vergleich Stern De
Mundkrankheiten Diese Bilder Helfen Beim Erkennen
Vollkeramikkronen Hochwertig Asthetisch Naturlich
Karies Behandlung Zahnfaule Entfernen Ganz Ohne Bohren Welt
Zahne Und Glauben Zahnarzt Kassel Matthias Franke
Weisse Flecken Auf Den Zahnen Ursachen Fur White Spots Zahnarzt Berlin Friedrichshain
Zahnaerzte Hh Fissurenversiegelung
Woher Kommen Weisse Flecken Auf Den Zahnen
White Spot Entfernung Praxis Fur Zahnheilkunde Dr Pausenberger
Weisse Flecken Auf Den Zahnen Ist Karies Der Grund Dentalwissen
Schwanger Und Kind Zahngesunde Ernahrung
Mooci Weisse Flecken Auf Den Zahnen Woher Kommen Sie


